四维彩超怎么看男女怎么看
发布时间:2022-11-24 00:04:13
发布时间:2022-11-24 00:04:13
B超看胎儿性别是最科学,也是最准确的方法。通过四维彩超可以知道胎儿性别,我国禁止性别鉴定。尽管大家都知道如今国家有明文规定,任何医疗机构、任何医护人员,都不得以任何方式向孕妇或其家属透露胎儿性别,哪怕就患者自己要求也不行。但还是有不少的孕妈想通过<检查中的B超中的数据来分辨胎儿的性别。四维彩超看男女只需看懂这个位置,下面就来给大家详细分析一下。
四维彩超女宝宝特征如下
女宝B超图的特征是“三条白线”,当然最好的角度还是从下方来看。如果没有看到三条白线,那么就瞪大眼睛看双腿之间突出的部分,如果特征为两边鼓中间凹,那就基本是女宝了。如下图所示。

三条白线

三条白线

三条白线
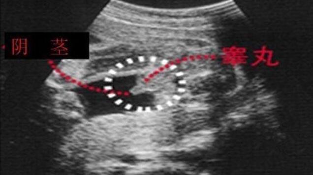
四维彩超男宝宝特征如下
男宝宝如何通过B超分辨出来呢,其实也很简单了,如果角度合适,男宝的B超图上是可以看到小丁丁的。下图拍摄取的角度就是宝宝屁屁正下方,一目了然。

小丁丁

小丁丁

小丁丁
怎么样啊,通过以上四位彩超是不是很轻松看到胎儿性别的标志呢,那些还在为胎儿性别猜来猜去的准妈妈赶紧拿起四维彩超测试一下吧。
上一篇 : 1一3月怀男孩症状
下一篇 : 10秒测出怀男孩和女孩,几个方法屡试不爽