葡萄胎是什么
发布时间:2022-11-24 01:09:31
发布时间:2022-11-24 01:09:31
葡萄胎并不是真正的<,它是一种良性肿瘤。葡萄胎亦称水泡状胎块,是指妊娠后滋养细胞增生,绒毛间质水肿,成水泡状,水泡相连成串,形如葡萄而得名,属良性滋养细胞肿瘤,是受孕时受精卵出现的某些异常引起的。子宫内没有正常发育的胎儿,而是有一堆样子有点像葡萄的水泡,故而得名。

1、什么是葡萄胎?
葡萄胎属于妊娠滋养细胞疾病的一种类型,妊娠滋养细胞是由胚胎胚外层细胞演化而来。受精后7~8日,着床部位的细胞滋养细胞又分化出合体滋养细胞,最终形成胎盘。当滋养细胞增生和侵袭超过一定限度时,便形成各种滋养细胞疾病。
妊娠滋养细胞疾病除了良性的葡萄胎(完全性或部分性),还包括侵蚀性葡萄胎、绒毛膜癌(简称绒癌)、胎盘部位滋养细胞肿瘤等恶性疾病。葡萄胎是良性滋养细胞疾病,来自异常受精,占妊娠滋养细胞疾病的90%,其他3类妊娠滋养细胞疾病为恶性疾病,它们可由葡萄胎发展而来,也可直接发生于怀孕之后,如自然或人工流产、异位妊娠、或早产和足月产后。
早在公元前就有妇女产子六百的纪录,当时称葡萄胎为“奇胎”或“水泡状胎块”。后来人们知道这种所谓的怪胎是因为妊娠后胎盘绒毛滋养细胞增生、间质水肿而形成大小不一的水泡,水泡间借蒂相连成串,看上去像一串串葡萄,所以得名葡萄胎。

图:葡萄胎“水泡样胎块”外观
2、什么人容易得葡萄胎?
母亲年龄
高龄(>35岁)是目前最明确的妊娠滋养细胞疾病危险因素,年龄超过35岁的女性中,妊娠滋养细胞疾病的发病风险显著增加,而年龄过小,低于20岁患妊娠滋养细胞疾病的风险也有增加。
既往妊娠滋养细胞疾病病史
有研究发现,有过1次葡萄胎妊娠史(部分性、完全性葡萄胎或侵蚀性葡萄胎)的妇女,再次妊娠时妊娠滋养细胞疾病复发概率约为1%,有2次葡萄胎妊娠史的妇女复发率则更高。
种族因素
葡萄胎多见于亚洲各国,尤其是东南亚国家,而欧美国家相对少见,有人认为可能与种族有关。我国流行病学调查发现,每1290次妊娠发生一次葡萄胎,壮族和蒙古族葡萄胎的发生率高于汉族。
<因素
饮食中缺乏蛋白质和维生素A,以及食物中前体胡萝卜素和动物脂肪缺乏,都导致葡萄胎的发生率增加。
遗传因素
正常妊娠细胞染色体检查为46条染色体(即二倍体),其中23条来自父亲,23条来自母亲。而葡萄胎细胞染色体检查异常:完全性葡萄胎虽然为46条染色体,但均来自父亲,无母源成分,即“空卵受精”;部分性葡萄胎则绝大多数为三倍体,即一个卵子和2个精子受精,多余的一套染色体来源于父亲。
其他因素
怀孕生产次数多,不孕史,使用口服避孕药等都是与妊娠滋养细胞疾病相关的危险因素。
3、妊娠滋养细胞疾病的临床表现有哪些?
完全性葡萄胎最常见的症状是停经后阴道流血,且反复发作,逐渐增多;子宫异常增大、变软,血HCG异常升高;妊娠呕吐症状严重且持续时间长;阵发性下腹痛;出现高血压、水肿、蛋白尿;卵巢黄素化囊肿。
部分性葡萄胎的症状与完全性葡萄胎基本相同,但是程度较轻。在临床上可表现为不全流产或过期流产。
侵蚀性葡萄胎和绒癌统称为妊娠滋养细胞肿瘤,症状表现为阴道流血,一般在葡萄胎排空、流产或足月产后,有持续不规则阴道出血,量多少不定,也可表现为一段时间的正常月经后再停经,然后又出现阴道出血;卵巢黄素化囊肿;一般无腹痛症状,但当黄素化囊肿发生扭转或破裂时可出现急性腹痛;假孕症状,如乳房增大,乳头及乳晕着色,甚至有初乳样分泌等。绒癌恶性程度较高,容易发生早期远处转移,局部出血是各转移部位症状的共同特点。
胎盘部位滋养细胞肿瘤比较罕见,多发生于生育期年龄,主要表现为闭经后不规则阴道流血或月经过多,子宫均匀性或不规则增大,一般不发生转移,预后良好。
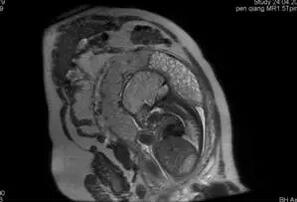
由于临床医生对于阴道出血、子宫增大且妊娠试验阳性的妇女多数怀疑为妊娠并发症,如先兆流产或稽留流产、异位妊娠,故详细确切的病史和全面的检查对妊娠滋养细胞疾病的正确诊断尤为重要。B超、MRI等影像学诊断也非常有价值,一般提示“宫腔蜂窝状改变”或“积雪征”。

图:盆腔MRI提示部分性葡萄胎(伴一发育正常胎儿)

图:B超提示完全性葡萄胎
4、如何早期发现葡萄胎呢?
常规应用超声检查,血清人绒毛膜促性腺激素(hCG)β亚基浓度定量检测,帮助早期诊断,就可以敏感地诊断葡萄胎,且常在并发症出现之前。
1、人绒毛膜促性腺激素(hCG)测定
血清hCG测定是诊断妊娠滋养细胞疾病的重要辅助检查。hCG由增生的滋养层组织产生,葡萄胎的滋养层细胞异常增生像水泡状,所以血清β-hCG水平显著高于正常,几乎所有妊娠滋养细胞疾病均存在hCG浓度异常升高,通常高于同孕龄宫内妊娠或异位妊娠者。
正常妊娠时,在孕卵着床后数日血清hCG升高,随孕周增加而不断升高,在孕8~10周达高峰,持续1~2周后逐渐下降。在葡萄胎时,血清hCG滴度明显高于相应孕周的正常值,而且在停经8~10周后仍持续上升。临床上,足月产、流产和异位妊娠后hCG多在4周左右转为阴性,若超过4周血清hCG仍持续高水平,或一度下降后又上升,在除外妊娠物残留或妊娠后,可诊断为非葡萄胎后妊娠滋养细胞肿瘤,也叫侵润性葡萄胎。胎盘部位滋养细胞肿瘤血清hCG测定多数阴性或轻度升高,但血清hCG游离β亚单位常可升高。

(图:正常妊娠hCG变化曲线)
2、彩色多普勒超声检查
多采用经阴道彩色多普勒超声检查,可检测到葡萄胎特征性超声表现。完全性葡萄胎的典型超声影像表现为:子宫明显大于孕周,宫内没有孕囊或胎心搏动,部分性葡萄胎有时可见胎儿或羊膜囊,但胎儿常合并畸形;侵润性葡萄胎通常表现为宫内1个或多个边界模糊的团块,含无回声区;绒毛膜癌表现为使子宫增大的不均质团块,这种不均质表现与坏死和出血区域对应,肿瘤可能会延伸到子宫旁组织;胎盘部位滋养细胞肿瘤表现为宫内胎儿可能存活,胎盘高回声团,团块通常侵及子宫肌壁。

(图:完全性葡萄胎超声图)
3、葡萄胎的治疗和随访
葡萄胎一经临床诊断,应及时清除宫腔内容物。一般采用吸刮术,术后应定期复查血清hCG水平,以便及早发现滋养细胞肿瘤。对于存在高危因素的患者,例如年龄大于40岁;血HCG水平大于100万国际单位/升;子宫体积明显大于停经月份;卵巢黄素化囊肿大于6厘米;刮出物病理以小葡萄状水泡为主(直径小于0.4厘米);再次发生的重复性葡萄胎,应考虑行单一药物预防性化疗。
不可掉以轻心的是,所有的妊娠滋养细胞疾病治疗结束后,这些病人都要严密随访,以绝“后患”。患者常常不解,既然葡萄胎为良性病变,为什么治疗后还要随访?葡萄胎虽是一种良性疾病,但与一般的早孕流产不同,是一种异常妊娠,虽然绝大多数葡萄胎可以通过清宫得到治愈,但仍有20%或更多的病人可进一步发展为恶性葡萄胎或绒癌,即滋养细胞肿瘤,可以威胁患者的生命。
随访内容包括:血HCG测定、妇科检查、定期复查B超、X线胸片或CT检查。还应注意月经恢复情况,有无异常阴道流血,有无咳嗽、咯血及其他转移灶症状。随诊期间严格避孕一年,首选避孕套,避免用宫内节育器。当随访中发现阴道流血、咯血、腹痛、剧烈头痛等症状;葡萄胎清宫术后2个月血HCG水平持续不降,或降低后再度升高;B超检查发现异常回声特别是子宫肌层有异常回声即可确诊为葡萄胎恶变,应及时予以化疗。

5、葡萄胎还能怀孕吗?
很多人都会产生这样的疑惑:妊娠滋养细胞疾病会不会影响以后的受孕?妊娠滋养细胞疾病并不使受孕功能受到损害,也不增加先天性畸形、流产、或围产期并发症。但有葡萄胎病史的病人,其下次妊娠复发的危险为1%,而两次葡萄胎后,再次出现葡萄胎的风险可达20%。有研究表明,重复性葡萄胎的恶变机会将增加3~4倍,因此,重复性葡萄胎清宫后应立即进行预防性化疗,以防止恶变的发生。虽然葡萄胎患者治愈后发生重复性葡萄胎的机会大于正常人,但绝大多数以后均可获得正常婴儿,因此,再次妊娠时也不必要过分的担心。
患者刮宫术后要防止感染。定期随诊,并严格避孕1年,hCG成对数下降者阴性6个月后可以妊娠,但对数下降缓慢者,应延长避孕时间。下次怀孕时,在妊娠早期都应作超声检查以确认为正常宫内妊娠。
上一篇 : 孕妇血压低的人吃什么好
下一篇 : 孕妇水肿怎么办