儿童长双排牙怎么办
发布时间:2022-11-24 10:37:20
发布时间:2022-11-24 10:37:20
现如今,出现「双排牙」的宝宝是越来越多了。
前段时间还有家长给小编留言说,自家的宝宝乳牙没掉不说,牙里面又长了两颗牙,不知该如何是好……
究竟这双排牙是怎么形成的呢?今天小编就给各位宝妈奶爸们好好科普一下!

一般来说,宝宝出生后牙龈里就藏着蓄势待发的牙胚,等到宝宝6岁左右时就会慢慢向上生长,直到把乳牙顶掉,然后取而代之。
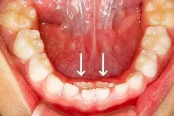
但若乳牙稳如泰山,那么恒牙顶不动,就会另辟新径从恒牙的前后方萌出,最终形成所谓的「双排牙」。
在医学上,双排牙也被称之为“乳牙滞留”。

那为啥乳牙迟迟不愿意“下岗”呢?
除了恒牙胚错位、先天性缺少恒牙牙胚、继承恒牙萌出无力、口腔疾病以及佝偻病外,双排牙出现的普遍原因其实是:家长溺爱犯了错!一般来说:

可很多家长担心宝宝咬不动、怕食物噎着宝宝,迟迟不肯让宝宝吃半固体和固体食物。
经常将食物剁的细碎来喂宝宝,或让宝宝一直吃软烂的食物,导致宝宝缺乏应有的咀嚼锻炼。
要知道咀嚼运动可以促进牙、颔、面的正常发育,促进局部血液循环及淋巴回流,增强代谢。
而且宝宝通过反复咀嚼食物,不仅可以刺激味觉,还有助于宝宝更好地发音。
若咀嚼不充分这些功能就会减弱,严重时还会影响宝宝今后的牙齿排列和脸型。
「双排牙」就是因为大部分宝宝吃的食物过于精细,牙齿得不到应有的锻炼,进而造成恒牙萌出时,乳牙却迟迟不肯脱落的现象。
所以,大部分宝宝出现双排牙,都是家长喂养出了问题。

别看双排牙暂时没啥影响,宝宝该吃吃、该喝喝的。可若任由它长,那危害可就大了去了!
短期的影响 就是:食物残渣容易嵌塞在两排牙的缝隙中,增加清洁难度,易造成宝宝口臭和龋齿等问题。
长期的影响 则是 :乳牙成了“钉子户”,影响后来居上的恒牙,两者相互“抢占地盘”的结果就是——牙齿排列不齐!
进而影响宝宝正常的牙齿咬合,抑制颌骨发育,影响宝宝的嘴型和面部的外观,严重降低宝宝的颜值。
若乳牙残根滞留,还容易出现口腔黏膜损伤,引发细菌感染的情况。

如果宝宝出现了双排牙,那么越早拔除乳牙越好,这样恒牙才有较大的机会回到正确的位置。
如果拔除滞留牙后,恒牙没有回到它该去的位置,则需要等所有牙齿萌出后做牙齿矫正来排齐牙齿。
如果宝宝到了换牙的年龄,乳牙却迟迟未脱落,恒牙也没有萌出,则需要拍牙片,查看牙龈里是否有恒牙,若无恒牙则需要保留乳牙。

1、合理添加辅食
在宝宝8个月时,就可以循序渐进让宝宝吃点质地稍硬、耐嚼的食物。比如:苹果、胡萝卜、玉米、西蓝花、芹菜等。
这样通过食物去刺激宝宝的牙床,不仅可以锻炼宝宝咀嚼能力,加快乳牙生长,还可以在宝宝换牙期促使乳牙按时脱落,恒牙萌出。
2、定期看牙医
建议每3~6个月,带宝宝去牙科做一次常规检查。便于及时发现问题,早期纠正。
3、培养良好的饮食习惯
尽量控制宝宝少喝夜奶、少吃甜食,即便要吃喝也要养成早晚刷牙、饭后漱口的良好习惯。
还要教育宝宝改正咬嘴、咬物、吮指、舔牙等不良习惯,避免诱发牙间隙增宽、牙齿倾斜、局部开颌、牙前突等问题。
小编说:
小编再提醒各位宝妈奶爸们一件事,那就是:当孩子萌出第一颗乳牙时,就应该刷牙了。
特别是奶粉喂养的宝宝,更应积极接受刷牙,因为配方奶粉中含蔗糖,蔗糖易腐蚀牙齿。而母乳中含的是乳糖和低聚糖,宝宝患龋齿的几率相对小一点,但也不能掉以轻心。
家长还要注意,出牙后就不要让宝宝吃着奶睡觉了,睡觉前应漱口或刷牙,以防止宝宝乳牙被腐蚀。
上一篇 : 小孩经常喝可乐的坏处有哪些
下一篇 : 如何让孩子爱上刷牙