孩子出现双排牙,是否和食物太精细有关?
发布时间:2022-11-24 10:39:38
发布时间:2022-11-24 10:39:38
最近有朋友咨询,说在抖音上看到视频说,孩子有双排牙,是和孩子们吃的食物太软、太精细了有关。家长开始担心了,我现在要给孩子吃些硬食物磨牙吗?
今天简单说说。
不过查这个资料,找个靠谱的,真的很难。本来以为是个小问题,却几乎翻遍了口腔学书籍和文章。
同时,强烈欢迎口腔科医生给予审阅和指导,一起给读者最好的建议。
简单粗暴版
双排牙,是出现在乳牙脱落、恒牙萌出的混合牙列期的,一个基本(本质上)正常的表现。
目 录
什么是双排牙?
双排牙的结局如何?
正常乳牙怎么脱落的?
为什么出现双排牙?
和吃的东西太精细、太软有关系吗?
出现这个问题,怎么办?
那软饭可以随意吃了吗?
一
什么是双排牙?
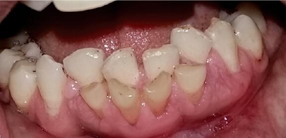
这是个俗语,通常是指恒牙长出来后,乳牙还不脱落,形成前后两排牙齿的表现,如下图所示。

图片来自参考文献[1]
大家能看出来哪些是恒牙吗?哈哈,当然是里面那两颗大的下切牙,从数量也能看出,在换牙时,乳牙数量肯定是比恒牙多的。
这种乳切牙没有在正常时间脱落的情况称为乳牙滞留(Over-retention of the primary tooth,retained deciduous teeth)。
在有些资料中,如果恒牙长出1年后,对应的乳牙还没有脱落,称为乳牙永存(persistent primary teeth),当然也属于乳牙滞留。
对于这种双排牙,最常见的是下切牙,也就是上面图片中所示的。
二
双排牙的结局如何?
大部分情况下,这些滞留的乳牙的牙根会逐渐吸收,乳牙开始松动,多在1年内脱落。
也有一些情况下,乳牙的牙根不被吸收,一直牢牢的把牙齿固定住,如果不拔出的话,会存留数十年,如下图所示。

图片来自参考文献[2]
为什么这些乳牙就不掉呢?咱们先看下正常情况下,乳牙怎么脱落的。
三
正常乳牙怎么脱落的?
从6岁开始,乳牙开始脱落,恒牙开始萌出。
乳牙脱落是牙根被生理吸收,与牙周组织失去联系的结果。乳牙牙根被吸收,是下面恒牙想出头导致的。
恒牙胚逐渐发育并向上长,导致恒牙胚和乳牙根之间有一定的压力,使得结缔组织转化为肉芽组织,分化出破骨细胞对乳牙根进行吸收。

当乳牙根尖部吸收后,就会逐渐松动,最后完全失去与牙周组织的联系而脱落,恒牙从下面顶出来,出头了。
下图是恒牙中,下切牙萌出的过程,这里因为恒牙的牙胚在舌侧开始发生,之后向唇面、面颊侧发育,所以,先会吸收乳牙舌侧的牙根,之后等恒牙胚长大了,才会吸收乳牙唇侧的牙根。
这也是为什么如果出现双排牙时,恒牙萌出后,都在乳牙的的舌侧面的原因。

图片来自参考文献[3]
四
为什么出现双排牙?
如果恒牙胚向上萌出的方向出现异常,比如上面咱们说的下切牙不是向唇面移动,而是向舌面移动,那么乳牙的牙根就没有那么容易的被吸收。
乳牙就会比正常时间脱落的慢或者不脱落,那恒牙向上顶不出来,只能向舌面顶出来,就出现了双排牙。
如果方向不是差的比较离谱,那乳牙根还是会不断的吸收,这时乳牙可能会活动,之后脱落;如果方向差的比较大,那乳牙根会很久不被吸收,那就留的时间很长了。
五
和吃的东西太精细、太软有关系吗?
现在网上好多双排牙的科普都是说,孩子出现双排牙,就怪妈妈/奶奶,是因为心疼孩子,不给得给孩子吃硬东西,基本就是流质饮食。这样孩子的乳牙得不到足够的摩擦和刺激,因此不能脱落,所以恒牙会萌出到其他位置,形成双排牙。
这个观点看起来挺合理,可是找不到原理的出处,乳牙的脱落是个生理过程,其根本原因,怎么起始的还没弄清楚,但脱落的主要因素肯定是恒牙胚开始发育,导致乳牙根吸收导致的。
咀嚼力在乳牙的脱落中应该是起到作用的,比如有书籍提到,恒牙在颌骨内移动产生的压力和咀嚼力决定乳牙根吸收的形态和速度[3],但是到底咀嚼力怎么起的效果,有多少效果,没写明(也可能是我没找到,大家找到可以发我)。
但同时,该书籍和其他资料[4]也都写明了,乳牙滞留的最常见原因是相应的恒牙缺如,就是没有恒牙导致乳牙的牙根吸收是其主要原因。比如大家的第2乳磨牙,就是因为下面恒牙经常缺如,导致长久的存在,可能一直使用到老。
还有个食物太精细的原因是长期不咀嚼硬物,那么颌骨就不能正常发育,牙弓短窄,恒牙因没有足够的空间长,导致双排牙。
但是在儿科口腔学权威著作《McDonald and Avery’s dentistry for the child and adolescent》[5]里,却否定了这点,提到在牙弓长度明显不足的患者和主切牙间距适当的患者中都可以看到,如下图所示。

图片来自参考文献[5]
左图A提示牙弓较短,右图A提示正常,但都有双排牙。
并且在这两种情况下,几个月后恒牙位置都能得到改善,如上图中B所示(右图B是拔出了滞留乳牙),这和舌头和持续的牙槽骨生长有关。
所以,即使饮食太精细,不吃硬物和其有关系,也不是主要原因,家长们就不用自责和后怕了。
并且,基本都是国内有这种说法,而在国外资料中,把这种表现都认为是普遍现象,在上述的儿科口腔学权威著作中,考虑到普遍性和自行恢复性,直接说这是基本/本质上正常( essentially normal)的,家长们完全不用焦虑。
六
出现这个问题,怎么办?
目前看国内大部分的建议是,如果乳牙是活动的,可以等其自行脱落或者促进其脱落,怎么促进,吃些硬东西,崩掉它,或者直接拔掉。
如果是牢固不动的,就拔掉就行了[3],拔掉前拍个牙片看下牙根吸收情况。拔掉的原因是避免长时间不掉,导致恒牙不齐,不美观,发生牙周炎等问题。
在《McDonald...》[5]里,Gellin和Haley给了一个参考做法,如果孩子在7.5岁前出现的这个问题,就观察就行,不用拔除,因为这个问题在几个月就能自我纠正。对于大孩子,牢固的乳牙,并且牙片提示牙根没有吸收,就建议拔掉。
他们通过实验发现,双排牙的孩子们在8岁2月龄和4月龄时,都实现了中切牙和侧切牙的唇侧移动。如果到这么大时还没有发生唇侧移动,提示乳牙的牙根没有被吸收,那就拔除。
同时,到底拔不拔牙,也得参考下家长意见,如果你看着孩子双排牙特别揪心,特别担心,就想拔掉,那可以的。
七那软饭可以随意吃了吗?
当然不是。
还是得让孩子什么都吃,不要过度保护,不要求全都碾碎、弄软,也不要故意用非常硬的东西让孩子练牙。
其实简单说,就是正常吃东西就行了。
- 参考文献 -
[1].J Tim Wright.Anatomy and development of the teeth.uptodate.2020.
[2].D Deepa.Nonsyndromic bilateral multiple retained primary incisors in mandibular arch: Rare case report.Jorr. 2016(8): 79-81
[3].文玲英.乳恒牙替换.实用儿童口腔医学.人民军医出版社.2016.
[4].Ali Murat Aktan.An evaluation of factors associated with persistent primary teeth, European Journal of Orthodontics, Volume 34, Issue 2, April 2012, Pages 208–212, https://doi.org/10.1093/ejo/cjq189
[5].McDonald and Avery’s dentistry for the child and adolescent / [edited by] Jeffrey A. Dean, David R. Avery, Ralph E. McDonald.Tenth edition.2016.
上一篇 : 这些坏习惯正在悄悄损伤孩子的健康
下一篇 : 小孩学轮滑对骨骼影响 儿童学轮滑的危害